图片 门牙缺失烤瓷牙修复_大发体育平台_大发体育-注册|官网
美牙热线:400-8888-888
    当前位置:大发体育平台_大发体育-注册|官网 > 关于医院 > 康复案例 >
门牙缺失烤瓷牙修复
来源:大发体育平台_大发体育-注册|官网 更新时间:2015-04-06 11:09 点击:
新年特惠送祝福

重塑您的健康与美丽,是我们的责任和义务!
  
  基本信息:
  
  范同学,22岁,在校大学生,通过网络预约就诊
  
  患者主诉:
  
  1、半年前和同学邀约一起溜冰,一不小心导致两颗门牙意外折断,牙缺失后不仅十分影响面部美观,还给吃饭、说话、人际交往等都造成了不小的影响,要求尽快修复。
  
  2、出于美观考虑,要求修复后的牙齿逼真自然,与真牙颜色及形态保持一致。
  
  临床诊断:
  
  结合范小姐的脸型、肤色、牙色等,通过德国西偌德数字化全景机和3D数码定位系统,对患者的牙齿进行全面细致的检查,结果显示根尖无异常,牙槽骨无吸收现象,符合烤瓷牙修复适应症。与患者沟通后,选定德国3D烤瓷牙修复方案

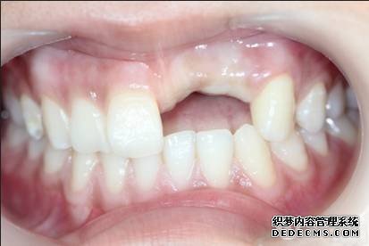
门牙缺失修复前
门牙缺失修复前

德国VITA比色
德国VITA比色
  
精确取模
精确取模

电脑个性设计制作
电脑个性设计制作

烤瓷牙定制成型
烤瓷牙定制成型
  
戴入烤瓷牙冠 
戴入烤瓷牙冠
  
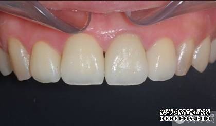
烤瓷牙修复完成  
烤瓷牙修复完成

温馨提示:当文章不能完全解决您的问题时,请点击在线咨询与西宁京瑞口腔专家一对一交流!打字不方便的朋友可拔打我院24小时咨询热线:09718222218,与专业口腔医生进行语音交流。
    西宁京瑞口腔以专业的心,做专业的事!现在进行网上预约,享受"优惠活动",不用排队,节省您的时间和精力!