前牙种植
成人矫正
美容冠
镶牙
烤瓷牙
冷光美白
拔牙
牙疼
龋齿
喷砂洁牙
牙龈出血
大发体育平台:麦迪逊团队认为,很少有顶级球员在赛季中转会 大发体育平台: 大发体育平台:根据……[查看详情]
随着种植牙技术的不断发展,就目前而言,种植牙几乎可用于各种牙齿缺失以后的修复,例如,单颗、...[了解全部]
牙齿不去矫正注意事项有哪些?牙齿不齐,给很多人们的正常生活带来了不小的影响,不仅影响到了整...[了解全部]
电视屏幕上不管是电视剧中的男女主角、t台秀上的闪亮登场……自己的牙齿就是牙齿暗黄、牙列不齐...[了解全部]
简单方法 用柠檬汁洁白牙齿 方法如下: 每晚在刷牙后,用纱布沾些柠檬汁,摩擦牙齿,牙齿就会变得...[了解全部]
牙龈炎不会让人痛不欲生,也不会像牙周炎那样引起牙齿脱落,因此被认为是口腔小疾,很少有人采取...[了解全部]
种植牙修复虫牙导致的牙
冷光美白的成功案例
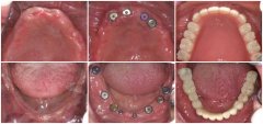
全口牙缺失修复前后
全瓷牙修复案例